丁香园病例库
经过同行推荐,精选超过 6 万篇来自临床真实经验、汇聚同行评议的真实病例,供更多的医生朋友学习讨论、临床借鉴。
丁香园站友 @乐悠悠_ 分享的这篇病例,在社区引起了广泛关注和热议。
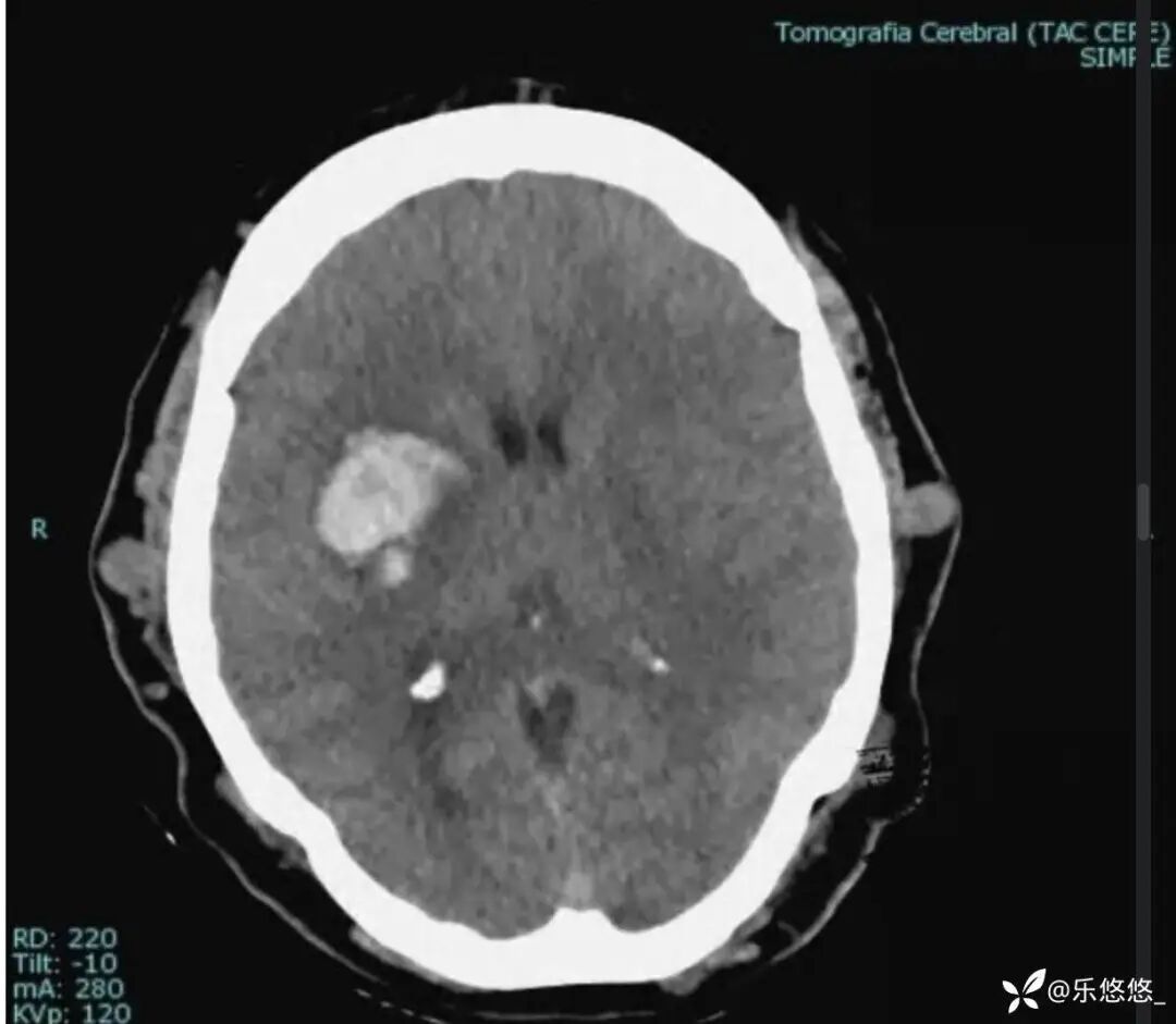
患者信息:45 岁女性,因「意识丧失,口角歪斜」入院。既往有高血压病史。
头部 CT 平扫显示右侧基底节区脑实质内出血,大小为 4.2x2.6cm,压迫右侧侧脑室。头皮不规则,可见多发类圆形和管状病变。


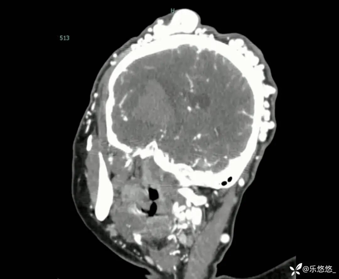
三维重建 CT 血管造影显示:头皮软组织层有多条扩张、迂曲的静脉血管。


编辑:ifhealth 来源:丁香园
